CAD/CAM & 3D Visualization
CAD/CAM
A Mesh Editing Function is provided, enabling the generation of 3D mesh data from segmented data
for detailed mesh editing. Various advanced tools support precise mesh modification, allowing for the refinement and adjustment of mesh structures. Boolean operations enable the combination or subtraction of different mesh parts to create complex geometries. Voxelization tools convert mesh data into a voxel-based representation, which is essential for certain types of analysis and 3D printing pre-processing.
for detailed mesh editing. Various advanced tools support precise mesh modification, allowing for the refinement and adjustment of mesh structures. Boolean operations enable the combination or subtraction of different mesh parts to create complex geometries. Voxelization tools convert mesh data into a voxel-based representation, which is essential for certain types of analysis and 3D printing pre-processing.
An incision simulation feature is currently under development, which will allow users to simulate surgical incisions on 3D models, providing a realistic and interactive way to plan and practice surgical procedures. This feature aims to enhance surgical education and preoperative planning by offering detailed, hands-on experience in a virtual environment. (in progress)
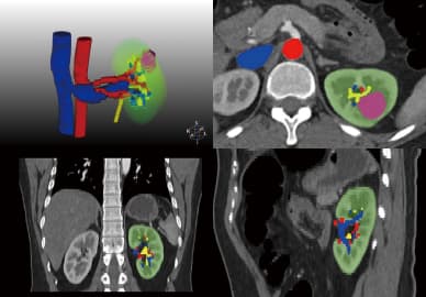
3D Visualization
MEDICAL IP establishes a vertical integration of technologies in the FDA-approved MEDIP Pro software
for the multimodal materialization of patient-specific anatomy ranging from medical image processing,
AI automated volumetric segmentation, CAD/CAM modeling, and Visual Printing to AR and VR technologies.
for the multimodal materialization of patient-specific anatomy ranging from medical image processing,
AI automated volumetric segmentation, CAD/CAM modeling, and Visual Printing to AR and VR technologies.

Segmentation & Modeling
for 3D Mesh Data
for 3D Mesh Data

Visual Printing

AR Navigation
- Visual Printing (Contact-Free)
The 3D imaging data extracted using MEDIP Pro can be easily integrated into a web and mobile-based communication platform
(Visual Printing) through the Design Mesh feature. This allows both medical professionals and patients to communicate efficiently
about the treatment process. Additionally, the results can be produced as AR aided digital content before 3D printing, making it
useful for medical education, surgical planning, and various other applications.
Improved Usability of Medical Data
Visual printing results are accessible on both web and mobile platform.
Our memo function allows you to exchange opinions on medical data enabling smooth communication.
Our memo function allows you to exchange opinions on medical data enabling smooth communication.
Fast implementation
The process of converting 3D volume data(mask) segmented by MEDIP to surface data(STL) applying Design Mesh and eventually uploading it to the web server is automized. In just 3 minutes, you can receive your Visual Printing’ product.
AR Navigation
Augmented Reality based Surgical


Augmented Reality based Surgical
Navigation Platform
for Patient-Specific Precision Surgery
2024 TOP TEN PROJECT OF KMDF







